Hiếm muộn thứ phát là một vấn đề ngày càng được quan tâm trong lĩnh vực sinh sản, đặc biệt đối với những cặp vợ chồng đã từng có con nhưng gặp khó khăn khi muốn sinh thêm. Không ít người bất ngờ khi đối mặt với tình trạng này, bởi họ đã từng mang thai thành công trước đó. Tuy nhiên, hiếm muộn thứ phát có thể xuất phát từ nhiều nguyên nhân khác nhau, từ sự thay đổi sinh lý tự nhiên theo thời gian đến những biến chứng từ lần mang thai trước. Vấn đề này không chỉ ảnh hưởng đến sức khỏe sinh sản mà còn gây ra nhiều áp lực tâm lý và xã hội cho các cặp vợ chồng. Trong bối cảnh đó, việc hiểu rõ về nguyên nhân, thách thức và các phương pháp điều trị hiếm muộn thứ phát trở nên vô cùng quan trọng, giúp những người gặp phải tình trạng này tìm được con đường phù hợp để tiếp tục hành trình sinh sản của mình. Hãy cùng tìm hiểu nhé!

- Hiếm muộn thứ phát (vô sinh thứ phát) là gì?
- Hiếm muộn thứ phát, còn gọi là vô sinh thứ phát (secondary infertility), là tình trạng một cặp vợ chồng không thể mang thai hoặc duy trì thai kỳ sau khi đã từng có ít nhất một con trước đó. Điều này khác với hiếm muộn nguyên phát (primary infertility), trong đó cặp vợ chồng chưa từng mang thai hoặc sinh con thành công. Hiếm muộn thứ phát có thể xảy ra dù lần mang thai trước đó diễn ra tự nhiên hoặc qua phương pháp hỗ trợ sinh sản.
- Hiếm muộn thứ phát là một trong những vấn đề sinh sản phổ biến trên toàn cầu, thậm chí tỷ lệ mắc có thể tương đương hoặc cao hơn so với hiếm muộn nguyên phát. Theo Tổ chức Y tế Thế giới (WHO), ước tính khoảng 10-25% các cặp vợ chồng trên thế giới gặp phải hiếm muộn thứ phát. Cụ thể, WHO cho rằng tỷ lệ hiếm muộn thứ phát có thể chiếm tới 50% tổng số trường hợp hiếm muộn, đặc biệt ở các nước đang phát triển .
- Tỷ lệ mắc hiếm muộn thứ phát có sự khác biệt đáng kể giữa các khu vực địa lý và dân số. Ở một số nước châu Phi và châu Á, nơi các bệnh nhiễm trùng đường sinh sản và chăm sóc sức khỏe tiền sản còn hạn chế, tỷ lệ hiếm muộn thứ phát có thể cao hơn so với các nước phát triển. Ví dụ, một số nghiên cứu chỉ ra rằng ở các quốc gia châu Phi, tỷ lệ hiếm muộn thứ phát có thể lên đến 30-40% trong số các cặp vợ chồng có một con.
- Nguyên nhân:
Có nhiều nguyên nhân có thể dẫn đến hiếm muộn thứ phát, bao gồm cả yếu tố từ phía người vợ và người chồng:
- Tuổi tác:
- Sau lần mang thai đầu tiên, nhiều phụ nữ có thể đối mặt với việc giảm khả năng sinh sản do tuổi tác. Từ độ tuổi 35 trở đi, số lượng và chất lượng trứng giảm, làm giảm khả năng thụ thai cũng như tăng khả năng lệch bội. Ở nam giới, mặc dù khả năng sinh sản không giảm đột ngột như ở phụ nữ, nhưng chất lượng tinh trùng có thể bị ảnh hưởng theo thời gian, dẫn đến giảm khả năng thụ tinh.

Nguồn: https://www.sunfert.com/understanding-fertility/how-age-affects-fertility/
- Rối loạn rụng trứng:
- Các vấn đề về rụng trứng, chẳng hạn như hội chứng buồng trứng đa nang (PCOS) hoặc suy buồng trứng sớm, có thể phát sinh hoặc trở nên trầm trọng hơn sau lần mang thai đầu tiên. Hoặc việc tăng cân quá nhiều trong thai kỳ trước, dẫn đến rối loạn chuyển hóa khiến cho việc phóng noãn bị rối loạn từ đó việc mang thai trở nên khó khăn hơn.
- Nghiên cứu được công bố trên tạp chí Reproductive Biology and Endocrinology cho thấy rằng tỷ lệ rối loạn phóng noãn trong vô sinh thứ phát có thể dao động từ 15% đến 30%, tùy thuộc vào dân số nghiên cứu và các yếu tố nguy cơ khác như tuổi tác và cân nặng.
- Rối loạn phóng noãn, đặc biệt là PCOS, không chỉ là nguyên nhân phổ biến của vô sinh thứ phát mà còn có thể đi kèm với các vấn đề khác như tăng nguy cơ sẩy thai, kinh nguyệt không đều, và các vấn đề về sức khỏe chuyển hóa (như tiểu đường và béo phì). Chính vì vậy, việc chẩn đoán và điều trị sớm rối loạn phóng noãn có thể cải thiện đáng kể cơ hội thụ thai và sức khỏe tổng thể của phụ nữ

Hình: Hội chứng buồng trứng đa nang
- Các vấn đề về ống dẫn trứng:
- Nhiễm trùng, phẫu thuật trước đó hoặc các biến chứng từ lần mang thai trước (như viêm nhiễm tử cung) có thể gây tổn thương ống dẫn trứng, dẫn đến khó khăn trong việc thụ tinh. Bệnh lý ống dẫn trứng là một nguyên nhân gây hiếm muộn thường gặp ở phụ nữ, chiếm 25%–35% trường hợp vô sinh ở nữ.

- Các vấn đề về tinh trùng:
- Vô sinh thứ phát ở nam giới có thể bắt nguồn từ các vấn đề về tinh trùng. Ngay cả khi một người đàn ông đã từng có con trước đây, chất lượng và số lượng tinh trùng có thể thay đổi theo thời gian, ảnh hưởng đến khả năng thụ thai trong tương lai. Các yếu tố tác động đến tinh trùng bao gồm lối sống, tuổi tác, bệnh lý, và tiếp xúc với các chất độc hại.
- Mặc dù nam giới có thể sản xuất tinh trùng suốt đời, nhưng chất lượng tinh trùng có xu hướng giảm dần theo tuổi. Nghiên cứu đã chỉ ra rằng từ độ tuổi 40 trở đi, số lượng tinh trùng, khả năng di chuyển, và hình dạng tinh trùng có thể giảm. Đồng thời, nguy cơ đột biến gen trong tinh trùng cũng tăng lên, dẫn đến nguy cơ cao về dị tật bẩm sinh ở con cái.
- Hút thuốc lá, uống rượu, sử dụng ma túy, và tiếp xúc với các chất độc hại như thuốc trừ sâu và kim loại nặng có thể gây hại cho tinh trùng. Căng thẳng, béo phì, và chế độ ăn uống không lành mạnh cũng có thể ảnh hưởng tiêu cực đến chất lượng tinh trùng.
- Biến chứng từ lần mang thai trước:
- Mang thai lần trước có thể để lại nhiều hệ quả quan trọng cho lần mang thai tiếp, các biến chứng như bằng huyết sau sanh, khuyết sẹo mổ cũ, viêm dính tử cung,.. đang là các nguyên nhân nghiêm trong khiến cho việc mang thai lần sau khó sảy ra.
- Đặc biệt, mổ lấy thai cũng để lại nhiều biến chứng quan trọng như:
- Khuyết sẹo mổ (Isthmicocele):
- Sau khi mổ lấy thai, một số ít thai phụ có thể phát triển sẹo tử cung hoặc vết mổ không lành hoàn toàn, dẫn đến một túi sẹo gọi là isthmicocele. Isthmicocele có thể gây ra sự ứ đọng máu kinh nguyệt trong tử cung, tạo ra môi trường không thuận lợi cho sự thụ tinh và phôi làm tổ.

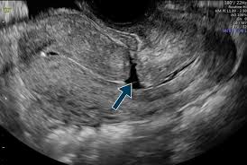
Hình: Khuyết sẹo mổ lấy thai
- Dính Nội Mạc Tử Cung ( Hội chứng Asherman):
- Dính nội mạc tử cung là tình trạng các mô sẹo hình thành trong tử cung sau khi mổ lấy thai hoặc sau các phẫu thuật khác liên quan đến tử cung. Các mô sẹo này có thể làm giảm diện tích nội mạc tử cung có khả năng cấy ghép phôi, gây khó khăn trong việc thụ thai lần sau và làm tăng nguy cơ vô sinh thứ phát.

Hình: Tủ cung bình thường và Hội chứng Asherman
- Viêm Nhiễm hoặc Nhiễm Trùng: Mổ lấy thai là một cuộc phẫu thuật lớn và như mọi phẫu thuật khác, có nguy cơ nhiễm trùng. Nhiễm trùng sau mổ lấy thai, nếu không được điều trị kịp thời, có thể dẫn đến viêm nhiễm vùng chậu, làm tổn thương ống dẫn trứng hoặc tử cung, từ đó làm giảm khả năng thụ thai.
- Lối sống và yếu tố môi trường: Thay đổi cân nặng, căng thẳng, chế độ ăn uống không lành mạnh, hoặc tiếp xúc với các chất độc hại cũng có thể ảnh hưởng đến khả năng sinh sản.
Tóm lại, có rất nhiều nguyên nhân gây vô sinh thứ phát, việc chẩn đoán đúng nguyên nhân là rất quan trọng, nhằm tìm ra giải pháp kịp thời để can thiệp sớm và đúng cách.
III. Điều trị vô sinh thứ phát như thế nào?
Điều trị vô sinh thứ phát phụ thuộc vào nguyên nhân cụ thể gây ra tình trạng này ở từng cặp vợ chồng.
-
Điều Chỉnh Lối Sống
- Giảm Cân và Chế Độ Ăn Uống: Nếu thừa cân hoặc béo phì là nguyên nhân gây vô sinh, giảm cân thông qua chế độ ăn uống cân đối và tập thể dục thường xuyên có thể cải thiện khả năng thụ thai.
- Tránh Các Tác Nhân Gây Hại: Hạn chế uống rượu, hút thuốc, và tránh tiếp xúc với các hóa chất độc hại có thể cải thiện chất lượng tinh trùng và trứng.
-
Điều Trị Nội Khoa
- Điều Trị Hormone: Nếu rối loạn nội tiết là nguyên nhân, các liệu pháp hormone có thể giúp điều chỉnh chu kỳ kinh nguyệt, kích thích rụng trứng ở phụ nữ, hoặc cải thiện sản xuất tinh trùng ở nam giới.
- Thuốc Kích Thích Rụng Trứng: Clomiphene citrate, Letrozole, hoặc các Gonadotropin có thể được sử dụng để kích thích rụng trứng ở phụ nữ có vấn đề về rối loạn phóng noãn.
-
Điều Trị Bằng Phẫu Thuật
- Khuyết sẹo mổ (Isthmicocele): Nếu sẹo tử cung do mổ lấy thai là nguyên nhân gây vô sinh, phẫu thuật sửa khuyết sẹo có thể cải thiện khả năng thụ thai.
- Phẫu Thuật Điều Trị Dính Nội Mạc Tử Cung (Asherman’s Syndrome): Phẫu thuật nội soi có thể được thực hiện để loại bỏ các mô sẹo trong tử cung, tạo lại môi trường thuận lợi cho việc cấy ghép phôi.
- Hỗ trợ sinh sản:
- IUI (Intrauterine Insemination) hay còn gọi là bơm tinh trùng vào buồng tử cung, là một phương pháp hỗ trợ sinh sản thường được sử dụng khi các cặp vợ chồng gặp khó khăn trong việc thụ thai tự nhiên. Trong IUI, tinh trùng đã được lọc rửa và chọn lọc kỹ càng sẽ được đưa trực tiếp vào tử cung của người phụ nữ vào thời điểm rụng trứng, nhằm tăng khả năng thụ tinh với trứng.
- Thụ Tinh Trong Ống Nghiệm (IVF): IVF là phương pháp hỗ trợ sinh sản hiệu quả, trong đó trứng và tinh trùng được thụ tinh trong phòng thí nghiệm, sau đó phôi được chuyển vào tử cung. IVF có thể là lựa chọn cho các cặp vợ chồng không thụ thai được do các nguyên nhân không rõ ràng hoặc sau khi các phương pháp điều trị khác thất bại.

- Bên cạnh đó, xét nghiệm di truyền tiền làm tổ (Preimplantation Genetic Testing – PGT) là kỹ thuật chuyên dụng được sử dụng để xác định các bất thường di truyền của phôi được tạo ra nhờ thụ tinh trong ống nghiệm/tiêm tinh trùng vào bào tương noãn (IVF/ICSI). Thông qua các xét nghiệm này, các chuyên gia có thể sàng lọc phôi có chất lượng tốt nhất để cấy vào tử cung, loại bỏ các phôi có bất thường. Đây là phương pháp hiệu quả trên các cặp vợ chồng lớn tuổi vì có khả năng phôi bất thường cao.

Tóm lại, vô sinh thứ phát là một tình trạng phức tạp và thường gây ra nhiều áp lực tâm lý cho các cặp vợ chồng. Mặc dù đã từng có con trước đây, nhiều yếu tố có thể thay đổi theo thời gian và ảnh hưởng đến khả năng sinh sản, bao gồm tuổi tác, thay đổi nội tiết, các vấn đề về tử cung hoặc tinh trùng, và lối sống. Tuy nhiên, với sự tiến bộ của y học hiện đại, nhiều phương pháp chẩn đoán và điều trị đã được phát triển để giúp các cặp vợ chồng vượt qua thách thức này. Từ các phương pháp thay đổi lối sống, điều trị nội khoa, phẫu thuật đến các phương pháp hỗ trợ sinh sản như IUI hay IVF, các cặp vợ chồng có nhiều lựa chọn để tăng cơ hội có con hơn. Vì thế, hãy cùng đồng hành với bác sĩ để có thể tìm ra nguyên nhân và hướng giải quyết nhé!
